Наши преимущества
Меняем жизнь людей к лучшему
Как это работает
Появление 3D снимков
Еще 10 лет назад для того, чтобы провести диагностику зубов стоматологи использовали прицельные R-снимки и ОПГ снимки. Это снимки, которые делаются в 2D формате. Единственное, что врач мог делать с данным снимком, это приближать и удалять изображение.

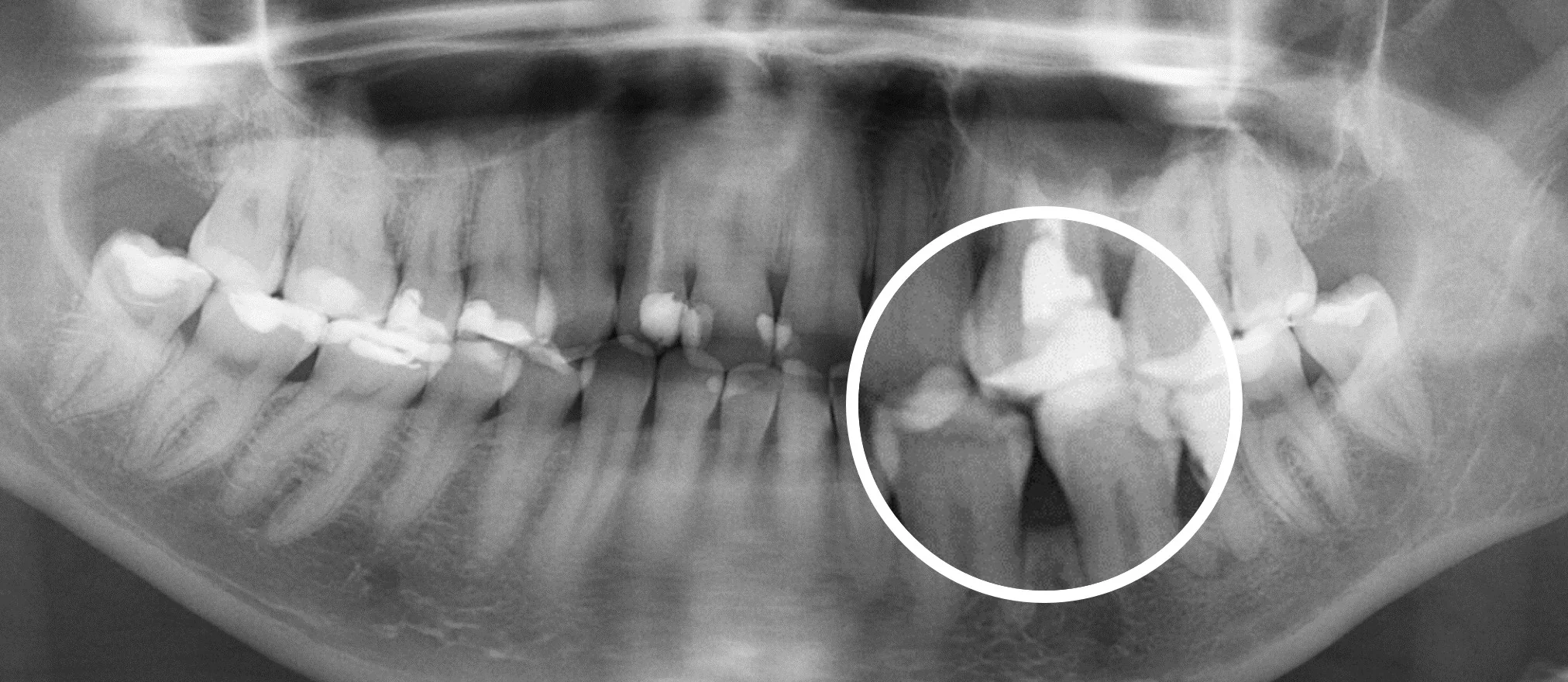
На смену 2D снимкам пришли КТ снимки (компьютерная томография], которые в обиходе называют 3D снимками —новый уровень диагностики.

3D снимки позволяют стоматологам рассмотреть зубы под разными углами.
Врач изучает 3D снимки на компьютере и в отличии от 2D снимков, он может крутить изображение под любым углом, который ему необходим, заглядывать «внутрь» каждого зуба.
Сравнение 2D и 3D снимков
Сравнение подходов в изучении 3D снимков
Стоимость комплексной консультации для первичных пациентов
Остались вопросы?
Мы ответим!
Часто задаваемые вопросы
Запись на консультацию
Не откладывайте, запишитесь на консультацию прямо сейчас, перезвоним через 15 минут
Отзывы о нашей клинике
Все отзывыМы за честность
Убедиться в наших отзывах легко — просто напишите пациентам, оставившим отзывы, и поинтересуйтесь о качестве услуг и сервиса нашей стоматологии
Пожалуйста, оставьте свой отзыв.
Это очень ценно для нас! Всего несколько слов о качестве, сервисе и результате
Написать отзывВ нашей клинике всегда чисто, уютно и спокойно
Чем грозит потеря даже одного зуба
Со временем лицо человека начинает выглядеть так:
Посмотрите видео, за 1 минуту, Вы увидите, что происходит с формой лица человека, потерявшего несколько зубов на одной из челюстей.
Отсутствие хотя бы одного зуба приводит к лавинообразной потери оставшихся.
Оставшиеся зубы начинают заполнять пустоты и смещаться.
На рисунке видно, какие щели между зубов образуются уже через год, после удаления.
|
|
Узнайте за 2 минуты, что происходит после удаления хотя бы одного зуба!
Оставшиеся зубы смещаются в сторону и вытягиваются из десны. Зубам необходимо иметь опору (особенно при жевании). Если такой опоры нет, то они начинают ее искать и выдвигаться из десны.
Через год изменения уже будут видны невооруженным глазом. Выдвинутый зуб будет мешать при протезировании противоположного. Придется подпиливать выдвинувшийся зуб или возвращать его на место с помощью ортоимплантов.
Смещаясь, зуб начинает притираться к соседним, повреждая эмаль — возникает кариес:
|
|
На 4-ом рисунке видно, что костная ткань стала значительно тоньше, теперь в это место уже невозможно установить импланты (потребуется операция по наращиванию костной ткани).
Обратите внимание, насколько тоньше стала кость на рисунке 4, как постепенно обнажается корень оставшегося зуба.
|
|
|
|
Убыль костной ткани распространяется на соседние зубы и их корни постепенно обнажаются!
Зубы, расположенные рядом с местом удаления, со временем становятся нестабильными и могут быть утрачены.
|
|
Массовое смещение и выдвижение оставшихся зубов приводит к нарушению прикуса. На 4-ой картинке видно, что положение центральных зубов достаточно ощутимо изменилось, при этом удаленные зубы были расположены далеко от них.
|
|
|
|
Нарушение речи
Отсутствие даже одного зуба грозит нарушением речи, особенно если речь идет о центральных зубах.
«Я ПЯВЕСЯЛ СЮБУ В СКАФ»
Проблемы с пищеварением
При отсутствии зубов, пища пережевывается недостаточно тщательно, что приводит к проблемам с желудочно-кишечным трактом.
Психологические проблемы
Потеря зубов также приводит психологическим проблемам. Люди теряют уверенность в себе. В большинстве случаев крайне болезненно данный вопрос переживают женщины. Меньше улыбаются и становятся менее коммуникабельными. Как итог, низкая коммуникабельность сдерживает продвижение людей по карьерной лестнице, возникают проблемы в построении личной жизни
Проконсультируем вас по условиям и стоимости лечения, подберём врача и запишем вас на приём.Консультация займёт всего 20–40 минут
Отзывы о стоматологии и репутация





